KD-Validated Anti-GRK2 Rabbit Polyclonal Antibody
Rabbit polyclonal antibody
- SPECIFICATION
- CITATIONS
- PROTOCOLS
- BACKGROUND

Application
| WB |
|---|---|
| Primary Accession | P25098 |
| Reactivity | Rat, Human, Mouse |
| Clonality | Polyclonal |
| Isotype | Rabbit IgG |
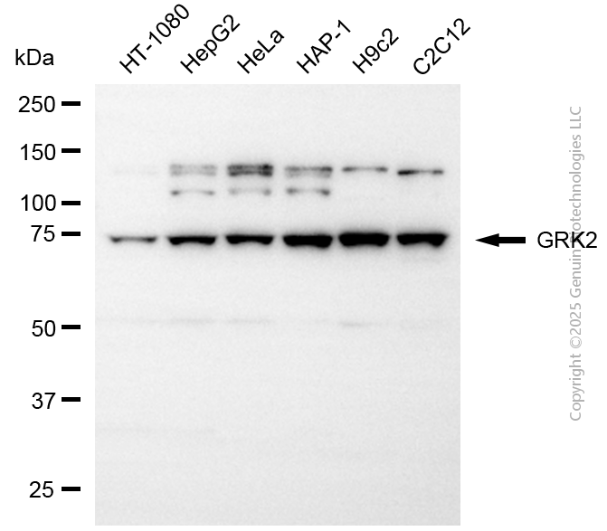
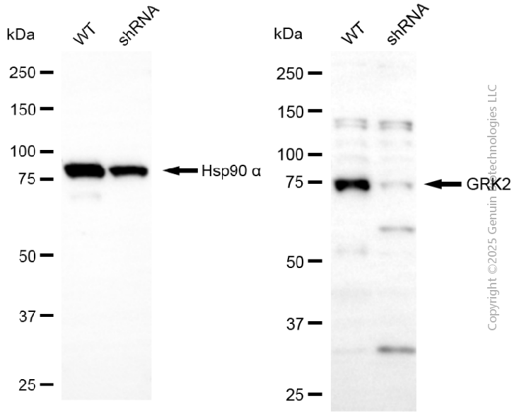
| Calculated MW | Predicted, 80 kDa, observed, 75 kDa |
| Gene Name | GRK2 |
| Aliases | GRK2; G Protein-Coupled Receptor Kinase 2; BARK1; ADRBK1; Beta-Adrenergic Receptor Kinase 1; EC 2.7.11.15; Beta-ARK-1; Adrenergic, Beta, Receptor Kinase 1; G-Protein Coupled Receptor Kinase 2; Adrenergic Beta Receptor Kinase 1; BETA-ARK1; EC 2.7.11 47; BARK |
| Immunogen | A synthesized peptide derived from human GRK2 |
| Gene ID | 156 |
|---|---|
| Other Names | Beta-adrenergic receptor kinase 1, Beta-ARK-1, 2.7.11.15, G-protein coupled receptor kinase 2 {ECO:0000312|HGNC:HGNC:289}, GRK2 (HGNC:289), ADRBK1, BARK, BARK1 |
| Name | GRK2 (HGNC:289) |
|---|---|
| Synonyms | ADRBK1, BARK, BARK1 |
| Function | Specifically phosphorylates the agonist-occupied form of the beta-adrenergic and closely related receptors, probably inducing a desensitization of them (PubMed:19715378). Key regulator of LPAR1 signaling (PubMed:19306925). Competes with RALA for binding to LPAR1 thus affecting the signaling properties of the receptor (PubMed:19306925). Desensitizes LPAR1 and LPAR2 in a phosphorylation- independent manner (PubMed:19306925). Positively regulates ciliary smoothened (SMO)-dependent Hedgehog (Hh) signaling pathway by facilitating the trafficking of SMO into the cilium and the stimulation of SMO activity (By similarity). Inhibits relaxation of airway smooth muscle in response to blue light (PubMed:30284927). |
| Cellular Location | Cytoplasm {ECO:0000250|UniProtKB:P26817}. Cell membrane {ECO:0000250|UniProtKB:P21146}. Postsynapse {ECO:0000250|UniProtKB:P26817}. Presynapse {ECO:0000250|UniProtKB:P26817} |
| Tissue Location | Expressed in peripheral blood leukocytes. |

Thousands of laboratories across the world have published research that depended on the performance of antibodies from Abcepta to advance their research. Check out links to articles that cite our products in major peer-reviewed journals, organized by research category.
info@abcepta.com, and receive a free "I Love Antibodies" mug.
Provided below are standard protocols that you may find useful for product applications.
If you have used an Abcepta product and would like to share how it has performed, please click on the "Submit Review" button and provide the requested information. Our staff will examine and post your review and contact you if needed.
If you have any additional inquiries please email technical services at tech@abcepta.com.





Foundational characteristics of cancer include proliferation, angiogenesis, migration, evasion of apoptosis, and cellular immortality. Find key markers for these cellular processes and antibodies to detect them.
The SUMOplot™ Analysis Program predicts and scores sumoylation sites in your protein. SUMOylation is a post-translational modification involved in various cellular processes, such as nuclear-cytosolic transport, transcriptional regulation, apoptosis, protein stability, response to stress, and progression through the cell cycle.
The Autophagy Receptor Motif Plotter predicts and scores autophagy receptor binding sites in your protein. Identifying proteins connected to this pathway is critical to understanding the role of autophagy in physiological as well as pathological processes such as development, differentiation, neurodegenerative diseases, stress, infection, and cancer.



